Cyryl Mickiewicz

Lekarz stomatolog, PhD, ekspert akademicki w dziedzinie funkcji i dysfunkcji narządu żucia

Implantologia
Licówki ceramiczne
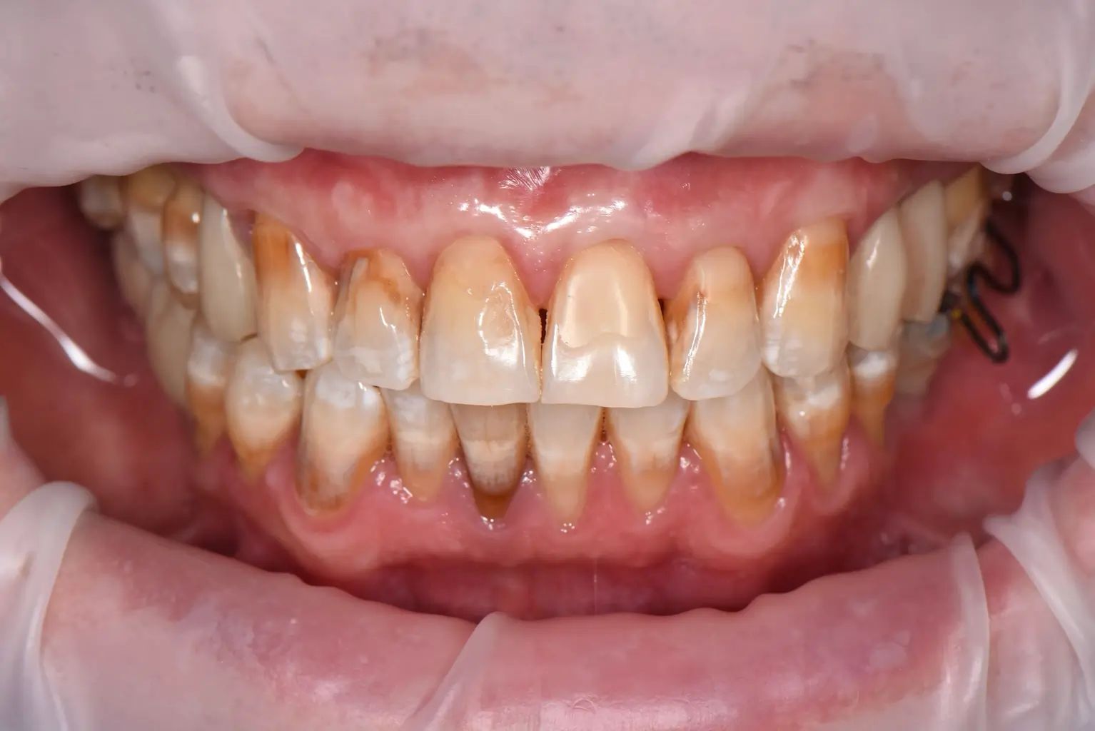
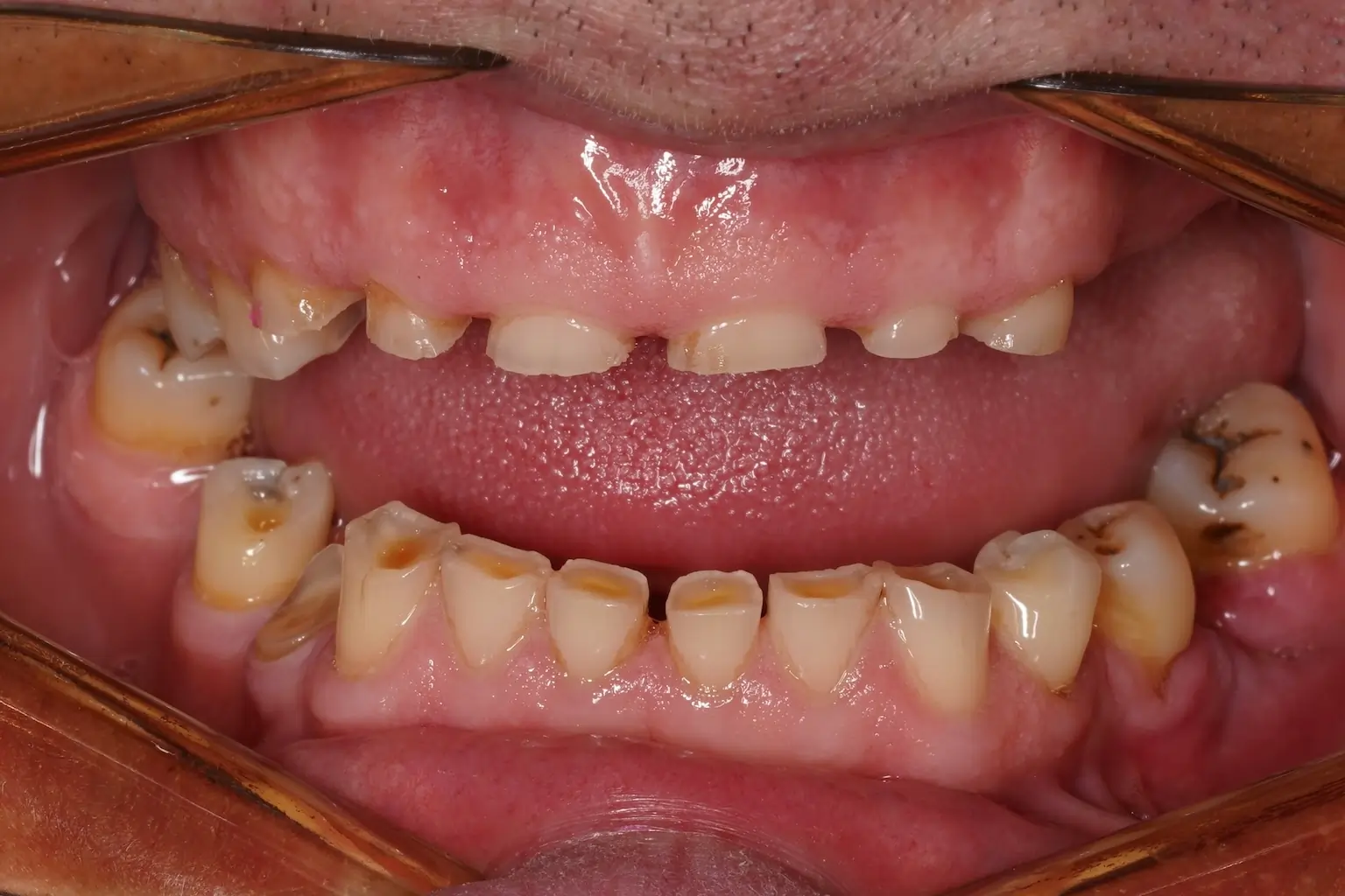
Kompleksowa rehabilitacja

Ph.D., 20+ lat doświadczenia

Cyryl Mickiewicz

1998

Absolwent Mińskiego Państwowego Instytutu Medycznego, kierunek: stomatologia, lekarz stomatolog

2000

Dyplom tłumacza (język francuski).

1998-1999

Studia na Uniwersytecie Montpellier 2 (Francja) - kierunek: chirurgia jamy ustnej.

2000-2002

Kliniczna ordynatura w zakresie stomatologii w Katedrze Protetyki Stomatologicznej Białoruskiego Panstwowego Uniwersytetu Medycznego.

2002-2003

Absolwent w zakresie protetyki stomatologicznej na Uniwersytecie Genewskim (Szwajcaria) na Katedrze Stomatologii Protetycznej.

2009-2010

Studia na Uniwersytecie Dunajskim w Krems (Austria), uzyskanie tytułu "Akademicki ekspert w dziedzinie funkcji i dysfunkcji układu żucia".

2013

W 2013 roku obronił PhD na temat: "Zastosowanie pełnoceramicznych laminatów w odbudowie tkanek twardych zębów".

2004

Od 2004 roku - konsultant kliniczny, oficjalny wykładowca Ivoclar Vivadent (Liechtenstein).

2017

2017 rok - szkolenie u Istvána Urbana w Budapeszcie (Węgry).

2019-2020

2019 - 2020 - szkolenie w STEIGMANN INSTITUTE Heidelberg (Niemcy) - implantologia, plastyka kości i tkanek miękkich.

2020

2020 - University of Michigan (USA) - program szkoleniowy z chirurgii i implantologii.

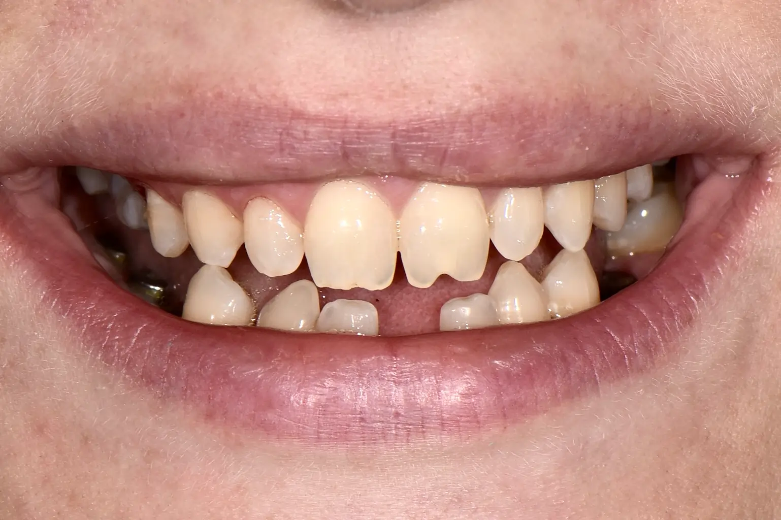
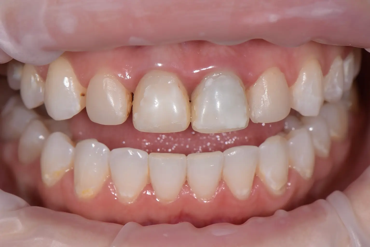
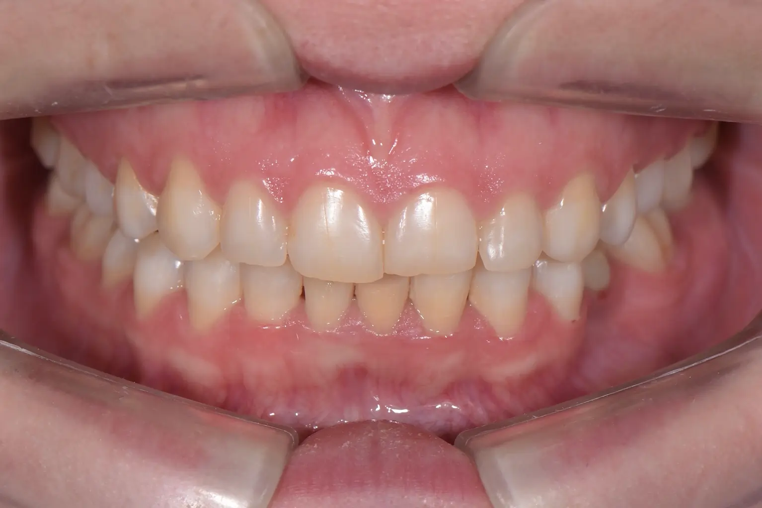
Przypadki kliniczne

Zobacz nasze przypadki kliniczne i dowiedz się, jak pomagamy naszym pacjentom

Implanty
Rehabilitacja
Licówki

Usługi

Nowoczesne metody leczenia i protetyki z wykorzystaniem zaawansowanych technologii i materiałów

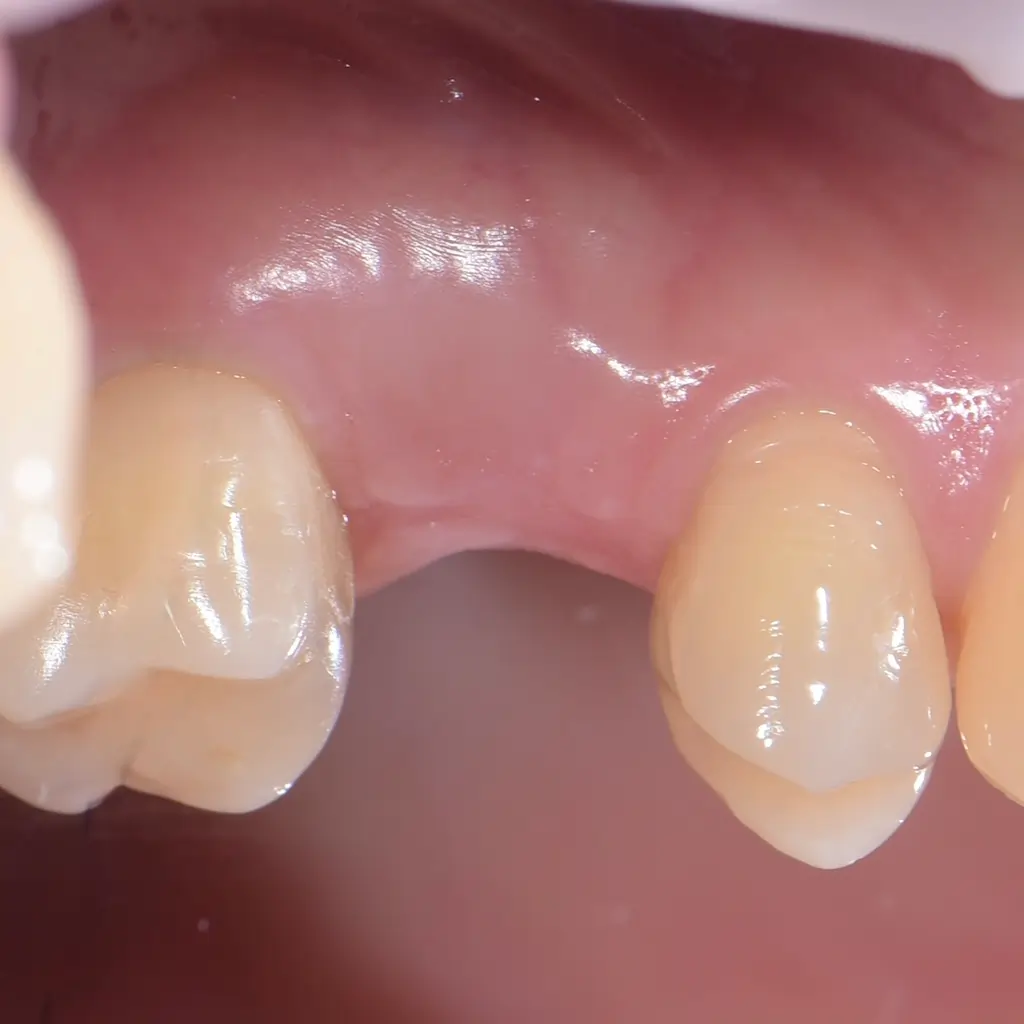
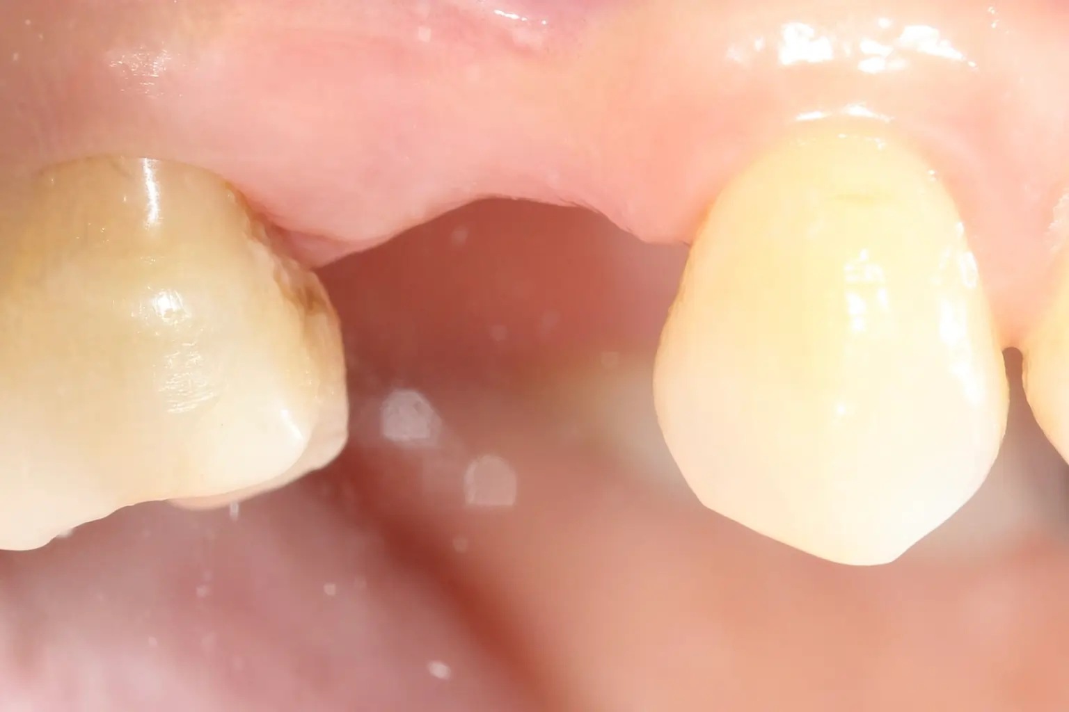
Implantacja zębów

Implantacja jest najbardziej skuteczną metodą odbudowy braków zębowych. Nowoczesne technologie i materiały pozwalają osiągnąć maksymalnie naturalny efekt i trwałość wszczepionych implantów.

Korony na implantach

Aby uzyskać pełnowartościowy ząb, ważną częścią kompleksowej rehabilitacji jest wykonanie korony na implancie. Korona jest wykonywana indywidualnie z uwzględnieniem cech anatomicznych i zapewnia naturalny wygląd i funkcjonalność.

Licówki

Wykonanie licówek pełnoceramicznych to nowoczesny sposób na metamorfozę uśmiechu. Cienkie nakładki ceramiczne pozwalają skorygować kształt, kolor i położenie zębów, tworząc naturalny i piękny efekt.

Zalecenia pozabiegowe

Prosimy o zapoznanie się z ważnymi wskazówkami dotyczącymi opieki po zabiegach chirurgicznych w jamie ustnej.

Czytaj zalecenia

Opinie pacjentów

Jestem niezmiernie wdzięczny moim pacjentom za okazane zaufanie, starając się robić wszystko, co możliwe, aby byli zadowoleni z rezultatu przeprowadzonego leczenia.

Olga

Mińsk

"Przeszłam implantację dwóch zębów u doktora Cyryla. Jestem bardzo zadowolona z rezultatu - żadnego dyskomfortu, wszystko przebiegło szybko i bezboleśnie. Implanty świetnie się przyjęły, czuję się pewnie. Dziękuję za profesjonalizm!"

Wiktor

Warszawa

"Założyłem korony na implantach. Jakość pracy przerosła wszelkie oczekiwania - korony wyglądają absolutnie naturalnie, żadnego dyskomfortu podczas żucia. Jestem bardzo zadowolony z rezultatu i profesjonalizmu doktora."

Ilona

Ryga

"Założyłam licówki u doktora Cyryla. Rezultat jest po prostu niesamowity! Uśmiech stał się idealny, licówki wyglądają bardzo naturalnie. Zabieg przebiegł komfortowo, a rezultat przerósł wszystkie moje oczekiwania.

Polecam tego wspaniałego specjalistę wszystkim!"

Agnieszka

Warszawa

"Założyłam koronę z tlenku cyrkonu z mocowaniem śrubowym. Jestem bardzo zadowolona z rezultatu - korona idealnie pasuje kolorem i kształtem, żadnego dyskomfortu. Dziękuję doktorowi za uważne podejście i wysoki profesjonalizm!"

Dmitrij

Mińsk

"Miałem implantację i założenie koron. Cały proces przebiegł bardzo komfortowo, doktor szczegółowo wyjaśniał każdy etap. Jestem bardzo zadowolony z rezultatu - wszystko wygląda naturalnie i funkcjonalnie."

Siergiej

Kijów

"Założyłem licówki na przednie zęby. Jestem bardzo zadowolony z rezultatu - uśmiech wygląda naturalnie i pięknie. Szczególne podziękowania dla doktora za profesjonalne podejście i dbałość o szczegóły."

Anna

Warszawa

"Przeszłam pełną rekonstrukcję zębów. Doktor wykazał się wyjątkowym profesjonalizmem, wszystkie etapy leczenia były dokładnie zaplanowane. Rezultat przeszedł wszelkie oczekiwania - uśmiech wygląda perfekcyjnie!"

Michał

Grodno

"Zgłosiłem się do doktora w skomplikowanym przypadku - liczne implantacje. Cały proces przebiegł maksymalnie komfortowo. Jestem bardzo wdzięczny za profesjonalizm i troskliwe podejście."

Helena

Brześć

"Miałam zakładane licówki ceramiczne. Doktor uwzględnił wszystkie moje życzenia i dobrał idealny kształt i kolor. Teraz mój uśmiech wygląda naturalnie i pięknie. Polecam wszystkim!"

Umów wizytę

Możesz umówić się na wizytę wypełniając formularz, pisząc na WhatsApp lub dzwoniąc.

Umów się online

Możesz umówić się na wizytę wypełniając formularz